One-Appointment Crowns with Cerec®
Amazing and exciting advances in dentistry now allow Dr. Huff and his staff to provide beautiful and durable one-appointment crowns, inlays, and onlays with the convenience of single-day appointments. We are proud to offer CEREC® technology in our office, which actually allows us to copy the exact shape of a tooth if we want so that the restoration feels “comfortable and normal,” as many patient tell us.
VIDEO: Cracked Teeth
While there are often cases where composite bonded fillings may serve very well, milled onlays, inlays, and crowns are often more durable and predictable over time.
In contrast to conventional crown, inlay, and onlay techniques where the dentist adjusts the tooth to make room for the material that the restoration will be made of, then takes an impression with a putty, then makes a temporary plastic or aluminum crown that the patient wears for several weeks before it is removed so that the crown can be seated only after all of the temporary cement is cleaned off the tooth, we are now able to use CEREC® technology to eliminate the putty impression, temporary crown, and the inconvenience of a second visit to seat the definitive crown, inlay, or onlay.
Crowns that are made by a technician in a laboratory are made to an artistic rendering of what the tooth should look and function like. Unfortunately, most people get used to the way their own teeth feel in their mouth, and many people do not easily adapt to the way new laboratory-processed crowns feel in their mouths. CEREC® technology allows us to copy the original shape of a tooth digitally in many situations and then reproduce that exact shape, or at least come very close, in the new crown. While the crowns may look less than ideal compared to artistically created laboratory restorations, our patients consistently tell us that they prefer the way our copy-milled crowns fit and feel compared to other crowns and fillings they have in their mouths, and often they tell us, “I can’t even tell there’s a crown there!”
CAD/CAM (computer assisted design/computer assisted milling) technology has revolutionized dentistry in our practice. We can provide our patients the convenience of high-quality and comfortable one-visit crowns, inlays, and onlays in less than 2 hours on average without the need for temporary crowns, a second session of being numb, and without the need for mess temporary cement clean-up that potentially causes further insult to the health of the tooth. We can even make large tooth-colored fillings with this technology that provides fillings that are superior in quality and shape to conventionally tooth-colored fillings!
Most of our patients who have experienced restorations made using CEREC® technology love the convenience, the esthetics, and the “natural feel” of their new milled restorations.
Single-visit restorations have proven in clinical practice as well as in published reviewed and respected scientific literature to be durable, esthetic, and well-fitting alternatives to “conventional” laboratory-processed restorations, and we find that our patients consistently opt for CAD/CAM crowns, inlays, onlays, and fillings when given the choice.
Case 1
This patient refused to have braces to straighten his teeth, which were weakened from decay and failing fillings, and wanted to maintain his smile, including the rotated position of his upper front teeth. He opted for chairside crowns to replace his upper front 4. CEREC® technology was used to reproduce the shape of his teeth.



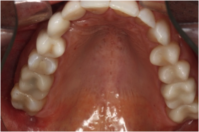
Case 2
This patient desired to maintain the position and shape of all of his teeth. He opted for CEREC® copy-milled restorations on most of his back teeth. Note how the shape mimics precisely the original shape of his teeth that had multiple large and failing fillings. He is very pleased with the result and has remarked on several occasions how comfortable his new restorations feel.





